This week has brought a lot of time for reflection. I am so grateful to be visiting such a wonderful country, full of incredible wild-life and warm, generous people. In the hospital, I am reminded how lucky I am to be healthy (exemplified by the gross case at the end).
In the Hospital
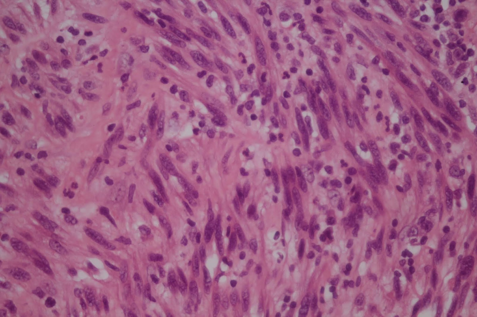
Answer to last week's toe case:
Think of what your diagnosis for the first set of images.
We were originally going to sign this out as a malignant spindle cell neoplasm, strongly favor malignant melanoma since we do not have IHC available. (The differential in this anatomic location is melanoma>melanoma>melanoma>>>>sarcoma). Until we saw this:
Melanoma in situ at one edge...we called it invasive melanoma. No sentinel node available here, or BRAF and other special tests, so patient will be followed.
A Great Gyn Example
This specimen is from a 44 year old woman's uterine evacuation:
| Trophoblasts are scary |
All the villi look edematous and there are cystic structures appreciated grossly. Marked non-polarized trophoblast proliferation. Diagnosis is complete hydatidiform molar gestation.
Outside of the hospital:
This week brought Mount Kenya: plants and animal straight out of Dr. Seuss, a glorious sunrise, but most importantly a special guest: Dr. Mara Rendi, from the great state of Minnesota.
Gross Image of the Week:
Sadly, this is a breast mass from a 15 year old girl who lives in the slums of Nairobi. The mass weighs 1700g and deforms her right breast, which hangs at her waist. She was able to come to this hospital after scraping some money together. The histology on the biopsy was called fibroadenoma.
Until next time...Angelica







No comments:
Post a Comment